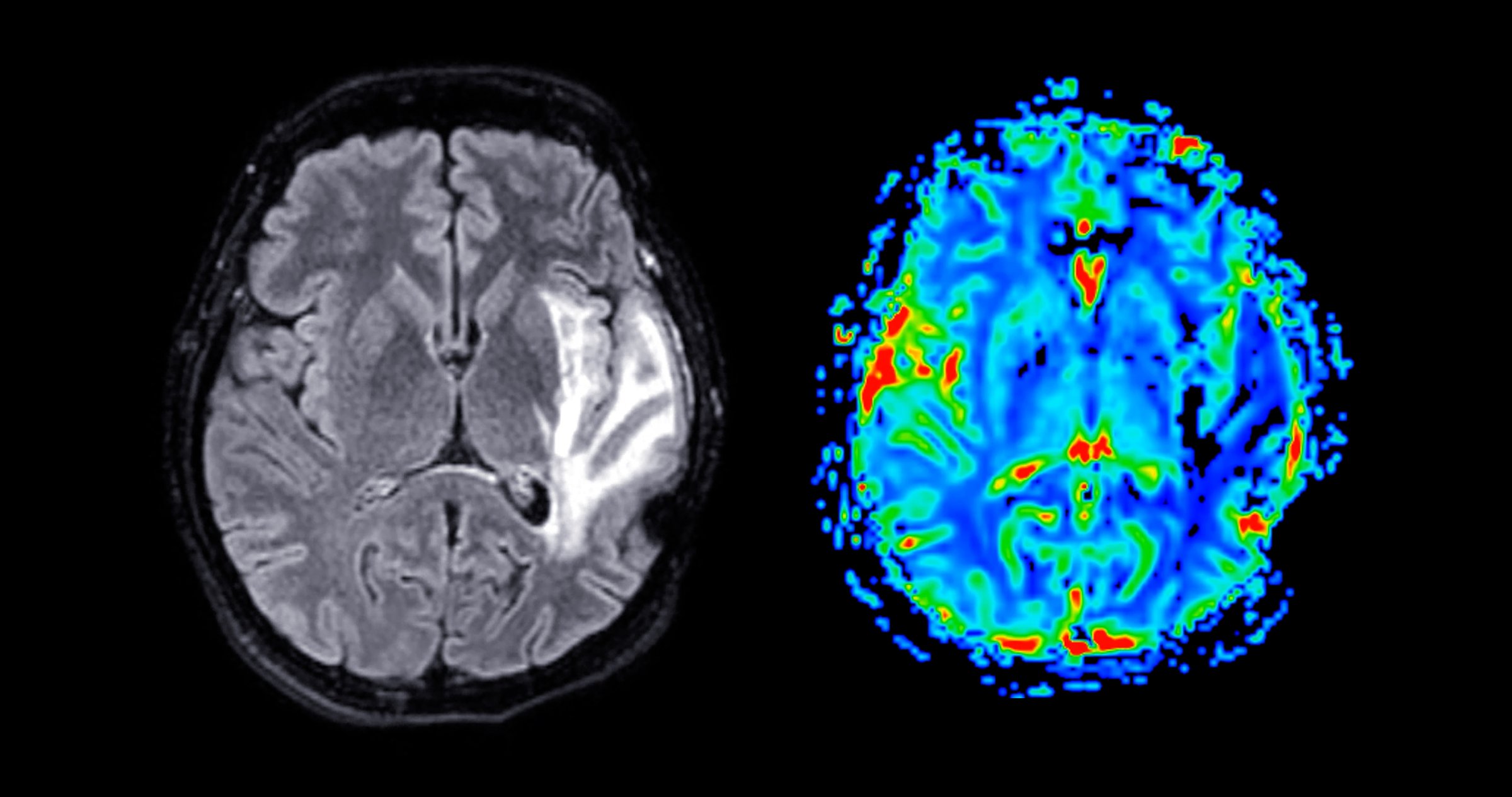
MRI brain perfusion imaging helps assess cerebral blood flow and tissue viability. It aids in diagnosing strokes, tumors, and other neurological conditions.
Advanced Medical Technology

Get Complete Body Insights with 3D Imaging Technology

Experience the future of healthcare with our cutting-edge full body scans and hi-tech lab diagnostics. Detect health issues early and get personalized recovery solutions.

FDA Certified

Equipment

Same Day

Results Available

Advanced Diagnostic Services

State-of-the-art medical imaging and diagnostics powered by cutting-edge technology for accurate health assessments

Full Body 3D Scan

Comprehensive full-body imaging using advanced 3D technology to detect potential health concerns early and monitor overall wellness.

Learn More

Advanced Lab Results

Precise laboratory diagnostics with rapid turnaround times, providing detailed insights into your health status and biomarkers.

Learn More

Personalized Recovery

Customized treatment plans based on your diagnostic results, ensuring optimal recovery and health outcomes tailored to your needs.

Learn More

Digital X-Ray Imaging

High-resolution digital X-ray technology for precise bone and tissue analysis with minimal radiation exposure.

Learn More

MRI & CT Imaging

Advanced brain and tissue imaging for detailed neurological assessments and early detection of conditions.

Learn More

Special Medical Needs

Specialized diagnostic services tailored to unique medical requirements and complex health conditions.

Learn More
A doctor's hand in a surgical glove pointing at a brain scan image on a computer screen, diagnostic tools and medical concepts.

Certified Excellence

Industry-leading diagnostic standards

Why Choose Us

Enhanced Technology for Superior Health Outcomes

Our state-of-the-art facilities combine cutting-edge imaging technology with expert medical analysis to provide you with the most accurate diagnostics available.

Advanced 3D Imaging

Multi-dimensional scans provide comprehensive views of internal structures for precise diagnosis

Rapid Results Processing

Same-day lab results and imaging analysis to accelerate your path to treatment

Expert Medical Team

Board-certified specialists analyze every scan to ensure accuracy and comprehensive care

Safe & Non-Invasive

Latest technology minimizes radiation exposure while maximizing diagnostic precision

The HealthCheck Difference

Experience healthcare that puts your wellbeing first with comprehensive diagnostics and personalized care

Early Detection Saves Lives

Identify potential health issues before they become serious. Our advanced imaging can detect abnormalities in their earliest stages when treatment is most effective.

Comprehensive Health Insights

Get a complete picture of your health status with detailed reports covering all major organ systems, metabolism, and potential risk factors.

Personalized Treatment Plans

Receive customized health recommendations based on your unique diagnostic results, lifestyle, and medical history for optimal outcomes.

Fast, Convenient Process

Schedule your scan at your convenience with flexible appointment times and receive results quickly through our secure patient portal.

A healthcare worker in a white coat uses advanced technology to analyze patient information.

15K+

Scans Completed

24hrs

Average Turnaround

98%

Patient Satisfaction

Take Action Today

Ready to Take Control of Your Health?

Book your comprehensive health scan today and get detailed insights into your wellbeing. Early detection means better outcomes.

Quick and painless scanning process

Detailed results within 24-48 hours

Expert consultation included with every scan

Flexible scheduling to fit your lifestyle

No referral needed • Most insurance accepted

Medical technology healthcare and medicine concept. online health network, Medical stethoscope with medical technology icons,  healthcare and medicine, hospital background, Insurance

Call Us

(888) 351-8214

Available Mon-Fri 8am-6pm

Email Us

[email protected]

Get a response within 24 hours

Visit Us

California & Florida locations